Ultraschall im 3. Trimester
Praxis für Pränatale Medizin

3. Trimester


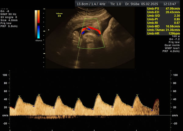
Wachstums- und Dopplersonographie

Die Dopplersonographie beinhaltet die Untersuchung der mütterlichen und kindlichen Gefäße. Sie liefert Informationen über die Versorgung des Kindes durch die Plazenta und den aktuellen Zustand des Kindes.
Sollten auffällige Befunde vorliegen, können durch engmaschige Kontrollen Wachstumsverzögerungen frühzeitig erkannt werden.

Dopplersonographie